De artrose van het kniegewricht (gonartrose) is een degeneratieve ziekte waarbij het kraakbeen dunner is. Volgens de statistieken lijdt elke vijfde inwoner van de planeet aan deze pathologie. Dit artikel zal rekening houden met de belangrijkste oorzaken van artrose, de symptomen ervan in elk stadium, evenals methoden voor diagnose en behandeling.
Oorzaken
Elke dag ervaren de kniegewrichten een grote lading tijdens het lopen. Ze moeten tenslotte de massa van het hele lichaam weerstaan. Als gevolg hiervan is er een geleidelijke slijtage van kraakbeenweefsel, wat de oorzaak is van pathologische veranderingen in de knieën.
De risicogroep omvat mensen:
- ouderen,
- lijden aan overgewicht,
- Osteoporose en metabole stoornissen hebben,
- ooit een kniegewet hebben gekregen,
- bepaalde beroepen vertegenwoordigen,
- Lijdend aan een tekort aan micro -elementen,
- bezig met zware sporten.

Bij de meeste mensen van 40 jaar kan de aanwezigheid van artrose in het tweede of latere stadium van ontwikkeling worden gevonden.
De belangrijkste symptomen
Natuurlijk kunnen veranderingen in kraakbeenweefsel niet plaatsvinden zonder symptomen. Met een ziekte kan een persoon klagen over:
- een gevoel van ongemak in de knieën na het wakker worden of langdurig in een zittende positie,
- Pijn in de benen na een lange positie,
- een brandend gevoel bij het beklimmen van de berg en de trap op,
- Zwakte in de benen na een lichte belasting, evenals aan het einde van de dag.
- Sommige patiënten houden zich zelfs 's nachts bezig tijdens de slaap.
Belangrijk! De ziekte komt niet scherp voor, het ontwikkelt zich door de jaren heen. Pijn in de eerste fasen kan onbeduidend zijn, maar na verloop van tijd is er een aanhoudende toename.
Arthrose van het kniegewricht 1 graad
In dit stadium begint gonarthrose net zijn ontwikkeling, daarom voor een persoon, het proces verloopt bijna asymptomatisch. Sommige tekenen zijn echter nog steeds te zien.
Een persoon begint vaak vermoeidheid in de benen te voelen, let op een lichte afname van de mobiliteit van een of twee kniegewrichten. Dit fenomeen is vooral kenmerkend in de ochtend, in de eerste minuten na het ontwaken.
In de regel treedt de diagnose van de ziekte in dit stadium per ongeluk voor, tijdens een X -Ray. Daarop kan de arts enkele onregelmatigheden op kraakbeen opmerken. Het is ook mogelijk om het lumen tussen de delen van het gewricht te beperken.
Arthrose van het kniegewricht 2 graden
De pathologie van het kniegewricht begint meer uitgesproken te lijken. Het uiterlijk van het pijnsyndroom is kenmerkend, dat wordt uitgelokt door een extra belasting op het gewricht.
REFERENTIE. In dit stadium gaat de pijn onafhankelijk voorbij, na een lange rust.
Bovendien, tijdens de tweede fase, symptomen zoals:
- Cryst met bepaalde bewegingen. Het kan zowel in één als in beide knieën worden waargenomen. De crunch kan nauwelijks merkbaar zijn, maar geleidelijk krijgt het een ruw, luid en zeer verschillend karakter.
- Het verminderen van het vermogen om het been volledig in de knie te buigen. Sommige mensen kunnen dit alleen tot een hoek van 90 graden doen, dan verschijnt een onaangenaam gevoel en ze worden gedwongen te stoppen.
- Sommige patiënten met gonartrose van het 2e stadium beginnen te klagen over het uiterlijk van een scherpe pijn die optreedt wanneer het kniegewricht is gebogen.
- Het is mogelijk om de vorm van het kniegewricht te veranderen, het wordt breder, zwelt op. Dit komt door de accumulatie van pathologische vloeistof.

Als ongemak wordt gedetecteerd in het kniegebied, moet u een arts raadplegen zodat hij de juiste behandeling voorschrijft.
Arthrose van het kniegewricht 3 graden
- In dit stadium, bij het gewricht van het gewricht, worden zeer sterke structurele kraakbeenveranderingen waargenomen. Groei met een groot formaat verschijnen erop.
- De kromming van het aangetaste been wordt opgemerkt. Het verwerft een 0-vormige of X-vormige bocht, die een ernstig obstakel wordt voor de volledige levensduur van de patiënt. Als gevolg hiervan kan een persoon een gehandicapte persoon worden.
- Een karakteristiek fenomeen van het 3e stadium van de ziekte is ernstige pijn, die constant kan worden waargenomen, intensiverend na elke, zelfs een kleine belasting.
- Een persoon merkt de gevoeligheid van het gewricht voor veranderingen in het weer. Nu de cycloon nadert, doet de knie pijn en trekt zich erin.

Met de leeftijd beginnen de gewrichten te reageren op veranderingen in weer en druk.
Arthrose van het kniegewricht 4 graden
Het is een extreme, laatste fase van de ziekte, waarin de kloof tussen de botten volledig afwezig is.
REFERENTIE. De meeste orthopedisten schrijven de vierde fase toe aan de derde. Dit komt door de gelijkenis van de symptomen en de complexiteit van tijdige diagnose.
Omdat de afwezigheid van een opening wordt waargenomen, is de beweging van het gewricht gewoon onmogelijk.
Bovendien wordt de patiënt gekweld door ondraaglijke, constante pijn, die alleen wordt verlicht door ernstige pijnstillers. Maar na een tijd waarin de werking van een tablet of injectie stopt, verschijnt er weer een onaangenaam symptoom.
Diagnostiek
Een onderzoek van de patiënt begint met zijn verzoek om hulp aan een specialist. Ze kunnen een therapeut of orthopedist zijn.
De arts luistert naar klachten, verzamelt een anamnesis, voert een onderzoek uit. Allereerst zal hij geïnteresseerd zijn in externe veranderingen in het gewricht, de beperking van mobiliteit in zijn gebied.

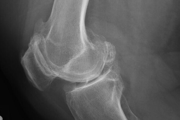
X -Ray helpt bij het identificeren van afwijkingen in kraakbeen.
Tijdens het sonderen klaagt de patiënt over het verschijnen van onaangename sensaties, en met een glans van de kniebeker wordt een crunch gehoord.
Belangrijk! Een diagnose is niet mogelijk na één visueel onderzoek van de arts, zelfs in aanwezigheid van alle tekenen van de ziekte. Alleen een uitgebreid onderzoek stelt u in staat om een nauwkeurig antwoord te geven over de pathologie die in de knie stroomt.
Na het onderzoek schrijft de arts de radiografie van de patiënt voor. Dit is de belangrijkste methode om artrose van het kniegewricht van elke mate te diagnosticeren.
X -Ray geeft de arts een idee van de veranderingen die zich voordoen in het kraakbeen van het gewricht. In sommige gevallen mag de beginfase echter niet op de foto worden gedefinieerd.
Indien nodig kan de arts een herhaalde doorgang van een röntgenfoto's of berekende en magnetische resonantietomografie voorschrijven.
Behandeling
Bij het diagnosticeren van gonarthrose moet de onmiddellijke behandeling beginnen. Dit helpt de voortgang van de pathologie te stoppen, waardoor veel complicaties worden voorkomen.
Therapie van de ziekte nastreven verschillende doelen tegelijk. Namelijk:
- eliminatie van pijnsyndroom,
- afname van de ernst van andere symptomen,
- De maximaal mogelijke herstel van het aangetaste kraakbeen en ligamenten van het gewricht,
- Een toename van de mobiliteit van het ledemaat.
De behandeling van de ziekte omvat methoden zoals:
- Drugstherapie,
- Massage, osteopathie, handmatige therapie,
- Chirurgische interventie,
- medische en preventieve lichamelijke opvoeding,
- Fysiotherapie.
Drugszorg
REFERENTIE. Drugstherapie is de belangrijkste methode om de ziekte te behandelen. Het is echter het meest succesvol in combinatie met andere methoden.
De medicijnen die worden gebruikt voor de behandeling van gonarthrose zijn onder meer:
- Niet -steroïde ontstekingsremmende medicijnen - Verlicht de patiënt van pijn, verlicht ontstekingen. Deze medicijnen zijn symptomatische middelen zonder de oorzaak van de ziekte te beïnvloeden. Ze vechten alleen met zijn manifestaties en brengen tijdelijke verlichting.
- Chondroprotectoren - Herstel kraakbeenstof. Het effect wordt echter niet onmiddellijk merkbaar. De medicijnen hebben cumulatieve (accumulatieve) eigenschappen, daarom heeft het lichaam tijd nodig voor hun volledige effect.
- Hormonale medicijnen. Ze worden in de regel voorgeschreven met geavanceerde stadia van de ziekte. Deze fondsen kunnen snel zwelling en ontsteking van de weefsels rond het gewricht verlichten. Het nadeel van deze klasse van geneesmiddelen is het systemische effect op het lichaam, waarin veel ongewenste bijwerkingen mogelijk zijn. Ze worden alleen voorgeschreven in cursussen voor één tijd, tijdens een verergering van het proces.
- Externe medicijnen, ontworpen om pijn te verlichten. Uitgebracht in de vorm van zalf, crème.
- Hyaluronzuur. Het is een nieuwe oplossing bij de behandeling van gonartrose. Het is een intra -articulaire introductie van een middel dat het gewricht voedt. Het heeft een vrij hoog rendement. De methode wordt echter gekenmerkt door tekortkomingen zoals: de mogelijkheid van gebruik alleen in de beginfase van de ziekte en de hoge kosten van het medicijn.
Belangrijk! Het introduceren van medicijnen in de gezamenlijke kloof is niet meer dan 1 keer in 7-10 dagen toegestaan.
Massage
Massage, evenals handmatige en osteopathische behandeling zijn gericht op:
- Eliminatie van pijn,
- het overwinnen van de stijfheid van bewegingen in de knieën,
- Verbetering van de bloedtoevoer op de plaats van kraakbeen,
- het bieden van voedingsstoffen en zuurstof op het gebied van ontsteking.
REFERENTIE. Massage en soortgelijke procedures moeten alleen worden uitgevoerd door een persoon met een speciaal onderwijs. Anders kunt u de toestand van het gewricht schaden en verergeren.
Chirurgische interventie
Het is een extreme maat bij de behandeling van artrose, wanneer de ziekte uiterst verwaarloosd wordt en andere therapiemethoden machteloos zijn. Meestal wordt endoprosthetics gebruikt, waarbij het aangetaste gewricht wordt vervangen door een implantaat.
Prothese kan van twee soorten zijn:
- Volledig - het hele gewricht is vervangen,
- Gedeeltelijk - Alleen het meest gedragen deel van het gewrichtsgewricht is onderhevig aan vervanging.
Contra -indicaties voor protheses zijn:
- chronische etterende infecties;
- neuromusculaire aandoeningen;
- aderpathologieën;
- Een aantal cardiovasculaire aandoeningen.
Een andere optie is de correctie -osteotomie. Met deze methode wordt een plaat in het gewricht ingebracht, waardoor de druk op het getroffen gebied van de knie wordt verminderd.
Transporttherapie
Het is een regelmatige en correcte implementatie van een aantal fysieke oefeningen gericht op het versterken van het gewricht en het herstellen van de mobiliteit ervan.
Deze procedure kan thuis onafhankelijk worden uitgevoerd, nadat hij eerder contact heeft opgenomen met een specialist voor advies.
Preventie
Het volgen van eenvoudige regels voorkomt het optreden of verergering van de vernietiging van kraakbeen. Hiervoor heb je nodig:
- Volg het dieet. Dit zal bijdragen aan de controle van het lichaamsgewicht, het lichaam van alle benodigde vitamines en mineralen voorzien.
- Houd zich aan bepaalde sporten en verlaten anderen. Het feit is dat met gonarthrose overmatige belastingen op de knieën extreem ongewenst zijn. Om deze reden is rennen en springen beter om te vervangen door fietsen, zwemmen of aquaerobik.
- Voer regelmatig therapeutische oefeningen uit.
- Draag comfortabele en orthopedisch correcte schoenen. Het is onaanvaardbaar om studs en hoge hakken te dragen, een platte zool, die schoenen met een kleine hak geeft.
De artrose van het kniegewricht is een vrij veel voorkomende ziekte die lange tijd onopgemerkt kan blijven. Ondanks het asymptomatische begin kan gonarthrose leiden tot ernstige complicaties, tot handicap. Daarom is het zo belangrijk om in de tijd diagnostiek te voeren en met de nodige behandeling te beginnen.
















































